Латеральная Мудрость
Мне есть над чем посмеяться, и я хочу поделиться этим с вами сегодня. С годами я не перестаю удивляться тому, как немного знаний может повлиять на невежественный ум. Применяя к такому уму, знания не обязательно делают его менее невежественным или более мудрым; зачастую они создают еще большую путаницу, подчеркивая его неведение. По крайней мере, так было в моем случае.
Чтение трудов мастеров и следование идеям, чуждым нашей повседневной жизни, может позволить нам почувствовать себя привилегированными и каким-то непостижимым образом лучше тех, кто нас окружает. Но «быть» и «чувствовать» — это совершенно разные вещи. Впервые я познакомился с учением Шри Ауробиндо в университетские годы и сразу же пришел к необъяснимому выводу, что я каким-то образом причастен к его словам и учениям, и что я могу черпать из них наставления. Настолько, что все, что я читал, казалось актуальным и применимым к моей жизни. Я начал оценивать свои знакомства и отношения через призму прочитанного, и даже на мое здоровье повлияли мои интерпретации.
Если мы пропустим скучные, нудные и зачастую малопонятные разделы о том, как успокоить ум и пройти этапы подготовки в этих книгах, мы сможем остановиться на так называемых деликатесах духовной жизни, таких как опыты, реализации и трансформации. Если вы, как и я в молодые годы, находите какую-то связь между этими словами и своей повседневной жизнью, то возможно, вам начинает казаться, что вы трансформируете сами свои клетки или переживаете другие странные явления. Однако так же, как мы не становимся физически здоровыми, питаясь одними тортами, нам необходимо полноценное духовное питание, а не «духовные пирожные», которое успокаивает, проясняет и умиротворяет ум, поддерживает жизненные силы организма и гармонизирует само тело.
В моем случае я не трансформировал свои клетки, я трансформировал два своих зуба мудрости — вместо того чтобы идти к стоматологу. Я молился, концентрировался на зубах и посылал туда сознательную силу «Шакти». И знаете что? Я жил с нарастающей болью каждый день. Боль сделалась настолько сильной, что мне приходилось принимать обезболивающие по несколько раз в день, чтобы справляться с повседневной жизнью и учебой. Я мечтал о духовной трансформации и божественном прозрении, а тем временем мои зубы продолжали разрушаться, и воспаленные зубные нервы посылали пронзительную боль по всему черепу.
Затем, в один из тех злосчастных дней, меня осенило: в моем случае осознанное действие означало нечто совсем иное, чем то, на что я надеялся и молился. Сознательное действие, а не стремление к неосязаемым и загадочным результатам, заключалось в том, чтобы записаться на прием к стоматологу и решить проблему практически и эффективно. В тот же день я записался на прием к стоматологу. Оказавшись в кресле стоматолога, я попросил удалить зубы. Проблема двух кариозных зубов мудрости была решена мгновенно и навсегда. Надеюсь, у вас больше здравого смысла, чем у меня, и вы не допустите, чтобы ваша ситуация, какой бы она ни была, дошла до такой крайности.
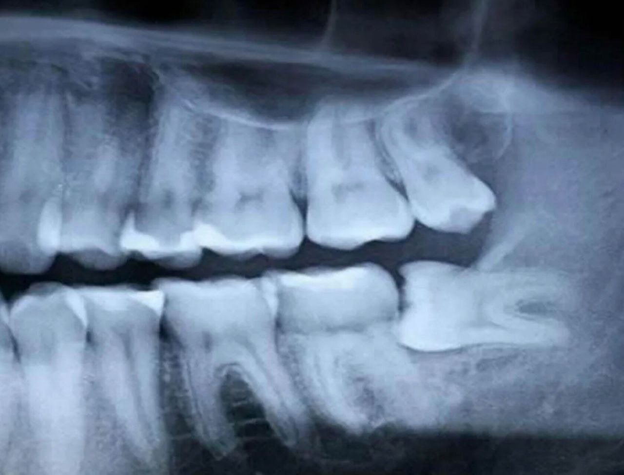
Пару недель назад, спустя 25 лет после этого случая, я получил неожиданное продолжение своей истории о «мудрости». Странная боль в нижней челюсти выявила еще один зуб мудрости, застрявший в десне, причем не вертикально, а горизонтально. Когда я показал рентгеновский снимок своей знакомой, она пошутила, что это «латеральная мудрость». Воистину, мы часто обладаем знаниями, но нам не хватает мудрости, чтобы применить их в своей жизни, и такое неправильное применение приводит лишь к путанице, хаосу и боли.
В этот раз я поступил не в «духовном» смысле, а просто и практично — назначил операцию и удалил этот пережиток далекого прошлого человечества в кресле стоматолога. Сейчас я восстанавливаюсь, сплевываю кровь и чувствую себя относительно довольным. В ближайших планах — удаление последнего (четвертого) зуба мудрости, который, как подтвердил мой стоматолог, нуждается в удалении, так что я наконец-то смогу назвать себя сертифицированным «не-мудрым» человеком.
А какова ваша мудрость?
Будьте здоровы!
Аум
